〒100-0011 東京都千代田区内幸町2-2-2 富国生命ビル 地下1階
内幸町駅直結 A6出口
日比谷駅 徒歩6分、霞ヶ関駅 徒歩4分、虎ノ門駅 徒歩7分、新橋駅 徒歩7分、西新橋 徒歩12分

相談予約・問合せ

0120-598-843
診療時間
月曜~土曜 9:30~13:00/14:00~18:30
休診日 
日曜・祝日・年末年始

部分入れ歯の症例(9)
ノンクラスプデンチャー(透明義歯)

case9

留め具が目立つのは嫌、金属製にしたくない

50代女性

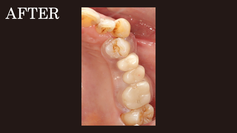
「見た目の良い入れ歯がほしい」「留め具に金属を使用したくない」とのご希望で来院された患者さまです。

これらのご要望を叶えるために、留め具が金属にならない「ノンクラスプデンチャー」をお勧めしました。また、「ポリフレックス(Polyflex)」という透明な素材を用いて入れ歯を作製しました。

「ポリフレックス(Polyflex)」を用いた入れ歯は「透明義歯」と呼ばれ、歯ぐきに馴染みやすく、自然で見た目の良い部分入れ歯を追求することができます。

金属を使用していない(メタルフリー)ため、金属アレルギーの心配がないのはもちろん、入れ歯だと気づかれにくい自然な見た目になっています。

完成した入れ歯を患者さまに装着いただいたところ、「金属の留め具がなくても安定感があるし、見た目も良くて快適に過ごせる」とご満足いただけました。

透明義歯は、留め具に金属を使いたくない、目立たない入れ歯にしたい、という方にもおすすめです。その他、患者さまのご要望に合った入れ歯をご提案できますので、お気軽にお問合せください。

主訴

留め具が目立つのは嫌、金属製にしたくない
治療内容
透明義歯(ポリフレックス)
治療費

165,000円(税込み)
※治療費は治療当時の費用です。

治療期間・回数
2週間・2回
リスク・副作用

強い力をかけると破損する可能性があります。
長期間の使用により徐々に透明性が失われる可能性があります。
割れたり欠けたりした場合は修理不可のため、新しく製作する必要があります。
※1年以内に破損した場合は11,000円(税込み)で再製作いたします。

入れ歯治療ご検討中の方へ

歯ぐきと接する部分にシリコンを利用したやわらかい入れ歯

床の部分に金属を利用した違和感の少ない入れ歯

ご満足いただける当院の入れ歯治療をご紹介します

当院の入れ歯治療について、種類と値段を掲載しています

入れ歯治療に関するご質問にお答えしています

デンタルローンのご利用で治療費の負担を軽減できます

院長の志や医院にかける思いを掲載しているページです

入れ歯治療をご検討中の方も、お気軽にお越しください

治療の開始から終了までの流れをご案内します

院内の様子や設備については、こちらをご覧ください

どうぞお気軽に
ご相談ください

  • 私の希望叶う入れ歯はどれ?
  • 治療費は安い方がいい
  • 目立たない入れ歯の見本が見たい

当院では30分ほどの入れ歯相談を実施中。歯学博士の院長が患者さんからのヒアリングを元に、あなたの希望が叶う入れ歯の中で一番お安い入れ歯をご紹介します。

他院で治療中の方も歓迎します。お気軽にご相談ください。
ご希望の方は、ご家族や付き添いの方も一緒にご相談いただけます。
 

 
9:30~13:00
14:00~18:30

休診日:日曜・祝日

東京都千代田区内幸町2-2-2 富国生命ビル 地下1階

内幸町駅直結A6出口。徒歩、日比谷駅6分、霞ヶ関駅4分、虎ノ門駅7分、新橋駅7分、西新橋12分。東京駅タクシー5分

診療時間

 
午前
午後

午前:9:30~13:00
午後:14:00~18:30
休診日:日曜・祝日・年末年始

日比谷公園前歯科医院 入れ歯専門外来

〒100-0011 東京都千代田区内幸町2-2-2
富国生命ビル 地下1階
内幸町駅直結 A6出口
日比谷駅 徒歩6分、霞ヶ関駅 徒歩4分、虎ノ門駅 徒歩7分、新橋駅 徒歩7分、西新橋 徒歩12分