〒100-0011 東京都千代田区内幸町2-2-2 富国生命ビル 地下1階
内幸町駅直結 A6出口
日比谷駅 徒歩6分、霞ヶ関駅 徒歩4分、虎ノ門駅 徒歩7分、新橋駅 徒歩7分、西新橋 徒歩12分

相談予約・問合せ

0120-598-843
診療時間
月曜~土曜 9:30~13:00/14:00~18:30
休診日 
日曜・祝日・年末年始

部分入れ歯の症例(10)
ノンクラスプデンチャー
(コンティース)

case10

違和感がなく、しゃべりやすい入れ歯がほしい

50代女性

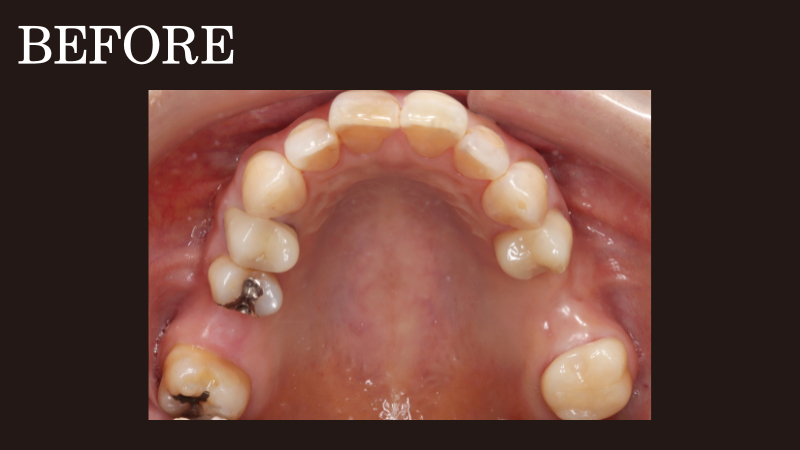
お口に入れている時の違和感がなく、会話の邪魔にならない入れ歯を希望されて部分入れ歯を作り直した患者さまです。

ご要望を叶えるため、抜歯後に目立たない部分入れ歯「エステショット(ノンクラスプデンチャー)」をお作りしたところ、自然な見た目で入れ歯と気づかれない点やしっかり噛める点は大変ご満足いただきましたが、会話する際の違和感が気になるとお悩みのご様子でした。

そこで新たにご提案したのが、2024年11月に登場した最新の入れ歯「コンティース(ノンクラスプデンチャー)」への作り替えです。

コンティ―スとは、3Dレーザープリンターによるチタン加工技術を用いて開発された新しい入れ歯のこと。

金属が目立ちにくい入れ歯

入れ歯には金属が一部使用されていますが、目立たない位置にあり、入れ歯であることが周囲の人に気づかれにくい設計です。また、この金属部分が滑らかに加工されており、同じノンクラスプデンチャーや他の入れ歯に比べて装着時の違和感が少なくなるよう仕上げられます。

出来上がった入れ歯を患者さまに装着いただいたところ、「入れ歯特有の違和感がなく付け心地がいい」「以前の入れ歯とは比べ物にならないほど話しやすい」と大変喜んでいただけました。

さらに自分の歯で噛んでいた時とほとんど変わらないほど咀嚼力が回復し、しっかり噛めるようになったとの嬉しいお声も。

このように、コンティ―スは発音や会話の邪魔にならない入れ歯です。加えてお口を開けても入れ歯と気づかれにくいため、周囲の目線を気にせず思いきり笑ったり、会話を楽しんだりできます。

こちらの患者さまと同じように「違和感がない」「話しやすい」部分入れ歯をお探しの方は、ぜひ当院にご相談ください。快適な使い心地を目指すのはもちろん、入れ歯本来の機能である「しっかり噛める」ことにもこだわった治療をご提案いたします。

主訴

違和感がなく、しゃべりやすい入れ歯がほしい
治療内容
コンティース(ノンクラスプデンチャー)で治療。
治療費

右上:220,000円
左上:220,000円

計:440,000円(税込)

治療期間・回数
3週間・2回
リスク・副作用

金属(チタン)を使用しているため、メインテナンスの方法によっては金属が黒く変色することがあります。(使用には問題ありません)
使用しているうちに入れ歯が緩むことがあります。

噛む力が強い方は、周りの歯に負担がかかる場合があります。

入れ歯治療ご検討中の方へ

歯ぐきと接する部分にシリコンを利用したやわらかい入れ歯

床の部分に金属を利用した違和感の少ない入れ歯

ご満足いただける当院の入れ歯治療をご紹介します

当院の入れ歯治療について、種類と値段を掲載しています

入れ歯治療に関するご質問にお答えしています

デンタルローンのご利用で治療費の負担を軽減できます

院長の志や医院にかける思いを掲載しているページです

入れ歯治療をご検討中の方も、お気軽にお越しください

治療の開始から終了までの流れをご案内します

院内の様子や設備については、こちらをご覧ください

どうぞお気軽に
ご相談ください

  • 私の希望叶う入れ歯はどれ?
  • 治療費は安い方がいい
  • 目立たない入れ歯の見本が見たい

当院では30分ほどの入れ歯相談を実施中。歯学博士の院長が患者さんからのヒアリングを元に、あなたの希望が叶う入れ歯の中で一番お安い入れ歯をご紹介します。

他院で治療中の方も歓迎します。お気軽にご相談ください。
ご希望の方は、ご家族や付き添いの方も一緒にご相談いただけます。
 

 
9:30~13:00
14:00~18:30

休診日:日曜・祝日

東京都千代田区内幸町2-2-2 富国生命ビル 地下1階

内幸町駅直結A6出口。徒歩、日比谷駅6分、霞ヶ関駅4分、虎ノ門駅7分、新橋駅7分、西新橋12分。東京駅タクシー5分

診療時間

 
午前
午後

午前:9:30~13:00
午後:14:00~18:30
休診日:日曜・祝日・年末年始

日比谷公園前歯科医院 入れ歯専門外来

〒100-0011 東京都千代田区内幸町2-2-2
富国生命ビル 地下1階
内幸町駅直結 A6出口
日比谷駅 徒歩6分、霞ヶ関駅 徒歩4分、虎ノ門駅 徒歩7分、新橋駅 徒歩7分、西新橋 徒歩12分