〒100-0011 東京都千代田区内幸町2-2-2 富国生命ビル 地下1階
内幸町駅直結 A6出口
日比谷駅 徒歩6分、霞ヶ関駅 徒歩4分、虎ノ門駅 徒歩7分、新橋駅 徒歩7分、西新橋 徒歩12分

相談予約・問合せ

0120-598-843
診療時間
月曜~土曜 9:30~13:00/14:00~18:30
休診日 
日曜・祝日・年末年始

部分入れ歯の症例(8)
ノンクラスプデンチャー(透明義歯)

case8

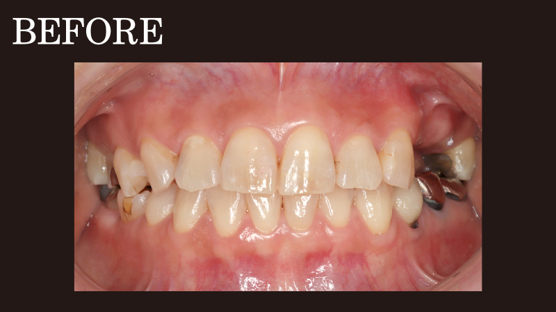
保険で作った入れ歯の金具が目立って気になる

50代女性

保険の入れ歯は、金属の留め具で固定するため装着時に目立つという難点があります。

こちらの患者さまも、金具の色が気になるとのことで、目立たない入れ歯を希望されました。

そこで当院が提案したのは、留め具が目立たない自然な見た目の部分入れ歯「ノンクラスプデンチャー」です。メタルフリーで、金属アレルギーの心配がない点もメリットです。

さらに今回お作りした義歯は「透明義歯」といって、「ポリフレックス(Polyflex)」と呼ばれる透明な素材を使用しています。「透明義歯」は、透明度が高く、歯ぐきの色に馴染むように作れるため、装着してもほとんど目立ちません。

実際に装着された患者さまからは、「笑ったときに留め具が目立たなくなって嬉しい」と大変喜んでいただけました。

目立たない入れ歯をお探しの方は、ぜひ一度当院にご相談ください。お口の中の状態やご要望をもとに、皆さまに最適な入れ歯をご提案いたします。

主訴

保険で作った入れ歯の金具が目立って気になる
治療内容
透明義歯(ポリフレックス)
治療費

220,000円(税込み)
※治療費は治療当時の費用です。

治療期間・回数
2週間・2回
リスク・副作用

強い力をかけると破損する可能性があります。
長期間の使用により徐々に透明性が失われる可能性があります。
割れたり欠けたりした場合は修理不可のため、新しく製作する必要があります。
※1年以内に破損した場合は11,000円(税込み)で再製作いたします。

入れ歯治療ご検討中の方へ

歯ぐきと接する部分にシリコンを利用したやわらかい入れ歯

床の部分に金属を利用した違和感の少ない入れ歯

ご満足いただける当院の入れ歯治療をご紹介します

当院の入れ歯治療について、種類と値段を掲載しています

入れ歯治療に関するご質問にお答えしています

デンタルローンのご利用で治療費の負担を軽減できます

院長の志や医院にかける思いを掲載しているページです

入れ歯治療をご検討中の方も、お気軽にお越しください

治療の開始から終了までの流れをご案内します

院内の様子や設備については、こちらをご覧ください

どうぞお気軽に
ご相談ください

  • 私の希望叶う入れ歯はどれ?
  • 治療費は安い方がいい
  • 目立たない入れ歯の見本が見たい

当院では30分ほどの入れ歯相談を実施中。歯学博士の院長が患者さんからのヒアリングを元に、あなたの希望が叶う入れ歯の中で一番お安い入れ歯をご紹介します。

他院で治療中の方も歓迎します。お気軽にご相談ください。
ご希望の方は、ご家族や付き添いの方も一緒にご相談いただけます。
 

 
9:30~13:00
14:00~18:30

休診日:日曜・祝日

東京都千代田区内幸町2-2-2 富国生命ビル 地下1階

内幸町駅直結A6出口。徒歩、日比谷駅6分、霞ヶ関駅4分、虎ノ門駅7分、新橋駅7分、西新橋12分。東京駅タクシー5分

診療時間

 
午前
午後

午前:9:30~13:00
午後:14:00~18:30
休診日:日曜・祝日・年末年始

日比谷公園前歯科医院 入れ歯専門外来

〒100-0011 東京都千代田区内幸町2-2-2
富国生命ビル 地下1階
内幸町駅直結 A6出口
日比谷駅 徒歩6分、霞ヶ関駅 徒歩4分、虎ノ門駅 徒歩7分、新橋駅 徒歩7分、西新橋 徒歩12分